1043 Oaklawn Drive, Suite B
Culpeper, VA 22701

Smile Gallery

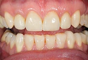
All Smiles Dental Care | Oral Cancer Screening, Dentures and Teeth Whitening

Before

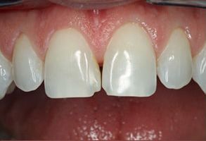
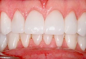
All Smiles Dental Care | VELscope reg  Cancer Screening, Crowns  amp  Caps and Root Canals

After

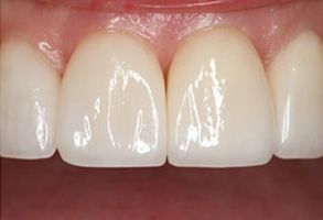
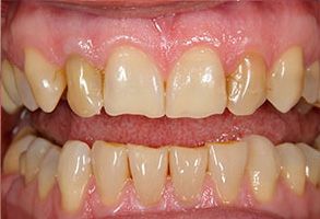
All Smiles Dental Care | Teeth Whitening, Dental Fillings and Root Canals

Before

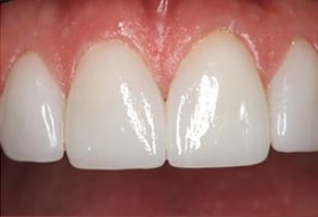
All Smiles Dental Care | Cosmetic Dentistry, Crowns  amp  Caps and Oral Exams

After

All Smiles Dental Care | Implant Dentistry, Root Canals and Cosmetic Dentistry

Before

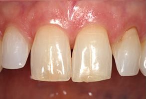
All Smiles Dental Care | Sedation Dentistry, VELscope reg  Cancer Screening and Dental Bridges

After

All Smiles Dental Care | Veneers, Dentures and Dental Fillings

Before

All Smiles Dental Care | Dental Fillings, Veneers and Oral Cancer Screening

After

All Smiles Dental Care | Periodontal Treatment, Crowns  amp  Caps and Dentures

Before

All Smiles Dental Care | Emergency Treatment, Veneers and Teeth Whitening

After

All Smiles Dental Care | Preventative Program, CBCT and Sedation Dentistry

Before

All Smiles Dental Care | Pediatric Dentistry, Preventative Program and Dental Cleanings

After

All Smiles Dental Care | Teeth Whitening, CBCT and Extractions

Before

All Smiles Dental Care | Teeth Whitening, Crowns  amp  Caps and Digital Radiography

After